Zahnästhetik

Ein schönes Lächeln verzaubert jeden Menschen, denn es steht für Gesundheit, Lebensfreude und Attraktivität. Doch nicht jeder ist von vornherein mit einem solchen Lächeln gesegnet und stört sich an Farbe, Form oder Stellung seiner Zähne oder seines Zahnfleischverlaufes.
In vielen Fällen besteht somit der berechtigte Wunsch nach einer Veränderung. Häufig kann man schon mit vergleichsweise kleinen Maßnahmen einen nachhaltigen Effekt erzielen. In anderen Situationen kann eine umfassendere Kombinationsbehandlung den Wunsch nach einem neuen Lachen erfüllen.
Hierzu steht eine Vielzahl von therapeutischen Optionen zur Verfügung wie beispielsweise natürliche Zahnaufhellung, keramische Aufbauten (u.a. Veneers) und natürlich diverse Korrekturmöglichkeiten von Zahnfleischproblemen. Zur schonenden Korrektur der Zahnstellung arbeiten wir hierbei auch regelmäßig mit spezialisierten Kieferorthopäden zusammen. 

Zahnaufhellung

Die natürliche Farbe der Zähne ist etwas sehr Individuelles, hat eine große Variationsbreite und verändert sich auch im Laufe des Lebens. Ein ansprechendes Lächeln wird oft mit einer hellen Zahnfarbe gleichgesetzt. Doch nicht jeder verfügt natürlicherweise über seine gewünschte Zahnfarbe. Durch eine professionelle Aufhellung (Bleaching) kann die Farbe ihrer Zähne schonend nach ihren Wünschen verändert werden. Hierzu eignen sich verschiedene Methoden. Beim sogenannten „In-Office-Bleaching“ wird die Behandlung in unserer Praxis durchgeführt. Das Ergebnis ist sofort sichtbar. Beim „Home-Bleaching“ erfolgt die Aufhellung über eine individuell hergestellte Schiene und ein spezielles Bleichgel, welche der Patient über mehrere Tage zu Hause ausführt. In unserer Praxis beraten wir sie gern über die für sie am besten geeignete Methode. 

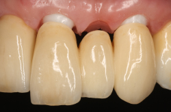
Zahnimplantate

Kommt es zum Verlust eines Zahnes, stellt der Einsatz eines zahnärztlichen Implantates in den meisten Fällen eine hervorragende biologische, funktionelle und auch ästhetische Therapiemöglichkeit dar. Ein Implantat entspricht in seiner Funktion einer künstlichen Zahnwurzel.
Dieses kann aus einer medizinischen Titanlegierung oder aus Keramik gefertigt sein. Zahnimplantate bilden die feste Basis für eine Krone, eine Brücke oder eine abnehmbare Prothese. Somit können durch den Einsatz von Implantaten Einzelzähne als auch mehrere oder sogar alle Zähne ersetzt werden.
Neben natürlicher Lebensqualität, unbeschwertem Lachen, Kauen und Sprechen überzeugt fester Zahnersatz auf Implantaten auch mit einer Vielzahl von medizinischen Vorteilen. So ist er ästhetisch unauffällig, hat keine sichtbaren Halteklammern und bietet das feste Kaugefühl der eigenen Zähne. Ein weiterer Vorteil liegt in dem Schutz der natürlichen Zähne. Diese müssen für implantatgetragenen Zahnersatz nicht beschliffen werden. Und Implantate stützen und schützen den Kieferknochen - ohne Prothesendruck auf das Zahnfleisch - ganz ähnlich wie natürliche Zähne.
Und sollten sich Kieferknochen und Zahnfleisch doch schon zurückgezogen haben, können diese Gewebe in den aller meisten Fällen durch moderne OP-Techniken wiederhergestellt werden. Selbst bei Patienten mit Vorerkrankungen stellt das Einbringen von Zahnimplantaten in aller Regel kein Hindernis dar.

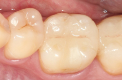
Füllung | Inlay | Teilkrone

Die Entfernung von kariösem Zahngewebe oder einer undichten Füllung hinterlässt einen Defekt am Zahn. Je nach Ausdehnung muss dieser Defekt unter Schonung der Restzahnsubstanz durch eine Füllung, ein Inlay oder eine Teilkrone stabilisiert werden:

Komposite
sind zahnfarbene Füllungsmaterialien auf Kunststoffbasis. Sie dienen der direkten Versorgung von kleineren Defekten.

Keramische Inlays und Teilkronen
bestehen aus einer biokompatiblen und langlebigen Spezialkeramik. Die mechanischen und ästhetischen Eigenschaften dieser Keramik entsprechen nahezu denen des natürlichen Zahnes. Je nach Defektgröße muss zwischen kleinen Inlays und größeren Teilkronen entschieden werde. Diese werden substanzschonend mit der natürlichen Zahnsubstanz verklebt.

Amalgamtausch
alte und undichte Amalgamfüllungen können unter Kofferdammschutz und Absaugung entfernt und durch andere Füllungsmaterialien ersetzt werden. Darüber hinaus ist auch eine zusätzliche medikamentöse Schwermetallausleitung möglich.

Alle Maßnahmen zur Füllungstherapie erfolgen unter größtmöglicher Schonung des Zahngewebes. Dafür kommen in unserer Praxis standardmäßig rotierende oder ultraschallgetriebene Mikroinstrumente zum Einsatz. Voraussetzung dafür ist der konsequente Einsatz von Vergrößerungshilfen wie Lupenbrille oder OP-Mikroskop.

Krone | Brücken | Prothesen

Kronen, festsitzende Brücken und herausnehmbare Prothesen ersetzen verlorengegangene Zahnsubstanz, einzelne Zähne bis hin zum gesamten Zahnbestand. Dabei kann mit modernen, biokompatiblen Materialien eine natürliche Ästhetik erreicht werden, welche von gesunden Zähnen kaum zu unterscheiden ist.
Genauso wichtig ist auch die Kaufunktion des Zahnersatzes. Nur das harmonische Zusammenspiel aller Komponenten des Gebisses führt zu einem ausgewogenen Kaugefühl. Um die individuellen Bedürfnisse unserer Patienten erfüllen zu können, arbeiten wir mit dafür spezialisierten Zahntechnikern zusammen.

Zahnreinigung und Mundgesundheit

Ihren Mund mitsamt allen Zähnen, Implantaten oder Zahnersatz dauerhaft gesund zu erhalten, anstatt Karies oder Entzündungen an Zähnen und Implantaten zu behandeln ist möglich und vorhersagbar.Neben der eigenen sorgfältigen Zahnpflege sind regelmäßige Vorsorge- und Reinigungstermine in der Zahnarztpraxis dazu unbedingt notwendig.
Kritische Bereiche in Zahnzwischenräumen und unter Brücken, vor allem aber am Zahnfleischrand können viele Patienten selbst nicht oder nicht ausreichend reinigen. In der Folge entstehen neben Zahnkaries vor allem Zahnfleischentzündungen, Taschenbildung und Mundgeruch. Aber auch lästige Verfärbungen und Auflagerungen auf Zähnen und Zahnersatz können sehr störend sein.
Daher kommt der regelmäßigen Zahnreinigung und Vorsorge (Prophylaxe) eine ganz zentrale Bedeutung bei der langfristigen Gesunderhaltung des Mundes zu. Im Ergebnis wird das Risiko für die Entstehung von Zahnerkrankungen nachhaltig reduziert und Probleme im Mundraum frühzeitig erkannt. Und saubere, glatte und ästhetisch ansprechende Zähne bringen Ihnen auch schnell wieder ein frisches und strahlendes Lachen.

Zahnfleischbehandlung

Parodontitis, oft auch als Parodontose bezeichnet, ist eine bakterielle Entzündung, die dem Zahnhalteapparat (Knochen und Zahnfleisch) schadet. Sie führt unbehandelt zu schweren Entzündungen, Zahnlockerungen oder Zahnverlust. Eine Vielzahl von Studien zeigen, dass Parodontitis unter anderem das Risiko für Herz-Kreislauf-Erkrankungen und Frühgeburten erhöht und sich ungünstig auf einen bestehenden Diabetes auswirken kann.

Konventionelle Behandlung
Bei der Parodontitisbehandlung werden harte und weiche Beläge an Zahnwurzeln, welche die Ursache bakterieller Infektionen und Entzündungen des Zahnfleisches darstellen, entfernt. Dies wird durch mechanische Instrumentierung und mit Medikamentenlösungen erreicht. Bei einigen besonderen Infektionen müssen die entzündungsauslösenden Bakterien zusätzlich gezielt bekämpft werden. In diesen Fällen wird mittels eines mikrobiologischen Tests der individuell passende antibakteriellen Wirkstoff bestimmt.

Erhaltungstherapie
Die Parodontitis ist eine chronische Entzündung, die jederzeit wieder auftreten kann. Somit bedarf ein betroffener Patient regelmäßiger Nachsorgemaßnahmen – die sogenannte Erhaltungstherapie muss daher ein Leben lang erfolgen. Sie beinhaltet vor allem entsprechende Kontroll- und Vorsorgetermine in individuell auf den Patienten abzustimmenden Abständen. Nur so kann eine Wiedererkrankung der gereinigten Zahnfleischtaschen wirkungsvoll verhindert werden.

Parodontalchirurgie
In einigen Fällen kann die Entzündungsfreiheit der Zahnwurzeln nur durch einen weiterführenden operativen Eingriff hergestellt werden. Hierbei werden die kritischen Beläge unter direkter Sicht von den Zahnoberflächen entfernt.
Auch bei Problemen mit fortschreitendem Rückgang des Zahnfleisches und freiliegenden Zahnhälsen (Rezessionen), unregelmäßigem Zahnfleischverlauf an den Zahnkronen oder störenden Lippen- und Wangenbändern kann in den meisten Fällen dank moderner plastischer Chirurgietechniken eine individuelle Lösung gefunden werden. Sollten sich in fortgeschrittenen Fällen neben dem Zahnfleisch auch der Kieferknochen zurückgebildet haben, kann in solchen Situationen ein Gewebeaufbau mittels regenerativer Verfahren hilfreich ausgeführt werden.

OP-Mikroskop

Eine Wurzelkanalbehandlung setzt fundiertes Wissen und Präzision auf kleinstem Raum voraus. Die Anwendung spezieller technischer Hilfsmittel erhöht die Chancen für den Zahnerhalt maßgeblich. Besonders der Einsatz eines OP-Mikroskops bietet dem Behandler entscheidende Vorteile.
Eine bis zu 25 fache Vergrößerung des Zahninneren ermöglicht das Auffinden versteckter Strukturen und Seitenkanäle, die über den Erfolg einer Wurzelbehandlung entscheiden. Ebenso lassen sich Risse, oder Frakturen präzise darstellen. Das Mikroskop kann ebenso bei der Füllungstherapie und der parodontalen Chirurgie zum Einsatz kommen.

Mikroskopische Wurzelbehandlung

Eine Wurzelkanalbehandlung wird immer dann notwendig, wenn das Zahninnere (Pulpa) entzündet oder abgestorben ist. Die Ursache dafür kann eine Karies, thermische Reize, ein Riss oder ein Unfall sein. Solch ein unbehandelter Zahn kann sowohl zu starken Schmerzen, als auch zu einer Entzündung des Kieferknochens führen. Das Ziel der Wurzelkanalbehandlung ist der Erhalt des Zahnes. Die Erfolgsquoten liegen in Abhängigkeit von der Ausgangssituation zwischen 70 % und 90 %.
Die Behandlung erfolgt in der Regel in zwei oder drei Sitzungen. Dabei wird der Zahn abgedeckt (Kofferdam) und anschließend eröffnet. Mittels elektronischer Wurzellängenmessung (Endometrie) kann der exakte Endpunkt des Wurzelkanales ausgemessen werden. Das infizierte Gewebe wird aus allen Wurzelkanälen entfernt und intensiv mittels Spülflüssigkeiten desinfiziert. Nach Abschluss dieser Reinigung werden die Hohlräume mit einem thermoplastischen Material bakteriendicht gefüllt und abschließend mit einer Füllung versiegelt. In Abhängigkeit vom Zerstörungsgrad sollte der Zahn anschließend z.B. mit einem in der Wurzel verankerten Stift und einem Kunststoffaufbau, einer Teilkronen oder einer Kronen stabilisiert werden.

Mikrochirurgische Wurzelspitzenresektion

Sobald ein Wurzelkanal nicht mehr über die Krone erreichbar ist und/oder sich eine ausgedehnte Entzündung (Zyste) bereits im Kieferknochen ausgebildet hat, kann dieser nur noch über eine Wurzelspitzenresektion versucht werden zu erhalten.
In diesem Fall wird das entzündete Gewebe an der Wurzelspitze über einen kleinen Zugang im Knochen entfernt und die Wurzelspitze um wenige Millimeter gekürzt. Der Wurzelkanal wird unter Sicht durch das OP-Mikroskop von der Unterseite her wenige Millimeter mit speziellen Ultraschallansätzen gereinigt und anschließend mit einem bakteriendichten Zement aufgefüllt, der eine Knochenheilung um die gekürzte Wurzelspitze ermöglicht. Ein erneuter Austritt von Keimen in den Kieferknochen wird dadurch verhindert

Behandlung von Kindern

Wir verstehen uns als Zahnarztpraxis für die ganze Familie – Kinder gehören selbstverständlich dazu und sind bei uns herzlich willkommen.
Unser Ziel ist es, von Beginn an Vertrauen zu schaffen, sodass Ihr Kind ein positives Verhältnis zum Thema Zahnarzt und Zahnpflege entwickelt. Dies ist wichtig, denn schon in jungen Jahren wird der Grundstein für lebenslange Mundgesundheit geschaffen.
In der Altersgruppe bis sechs Jahre erfolgen zu aller erst spezielle Frühuntersuchungen. Für Kinder und Jugendliche bis zum 18. Lebensjahr werden dann individualprophylaktische Leistungen angeboten. Hierbei erfolgen kindgerechte Zahnputzschulungen und altersgerechte Erklärungen zu Mundhygiene und Vorsorge. Durch individuell angepasste Fluoridierung wird der Zahnschmelz gestärkt. Und sollten Backenzähne tiefe Grübchen aufweisen, so werden diese Fissuren durch eine Fissurenversiegelungen zum Kariesschutz der Backenzähne.
Ebenso wichtig wie bei den Erwachsenen ist auch bei unseren Kindern die intensive und professionelle Reinigungen ihrer Zähne – eine der wichtigsten und effektivsten Vorsorgemaßnahmen!

Sportzahnmedizinische Betreuung

Den Unterschied machen im Spitzensport nur Kleinigkeiten. Leistungsverbesserungen um nur wenige Prozent können entscheidend sein. Gemeinsam mit Sportmedizinern, Physiotherapeuten und Trainern gilt es deshalb, diese Potenziale auszuschöpfen.
Die Sport-Zahnmedizin kann dazu einen nicht zu unterschätzenden Beitrag leisten. Schonende non- oder minimalinvasive Konzepte mittels biokompatibler Materialien stehen dabei im Vordergrund. Das akribische Auffinden und Eliminieren leistungsmindernder Störfaktoren, wie versteckter Entzündungen oder eines falschen Bisses, kann für den Erfolg eines Athleten von nachhaltiger Bedeutung sein. Individuell angefertigte Aufbissbehelfe schützen die Zahnsubstanz und ermöglichen Leistungsverbesserungen in unterschiedlichen Bereichen. Selbstverständlich werden auch sportbedingte Verletzungen der Zahnsubstanz therapiert.
© Zahnzentrum, 2024